Prótese Dentária

Devolver a capacidade de mastigar e sorrir faz da reabilitação oral uma das áreas da medicina dentária mais intimamente relacionadas não apenas com a autoestima, mas principalmente com a qualidade de vida dos pacientes.

A recuperação das peças dentárias é feita através de próteses fixas ou removíveis, e a solução ideal é ajustada a cada caso, não existem soluções universais para todos. Vários factores devem ser considerados.

A reabilitação oral protética é compreendida por várias etapas sendo todas elas importantes. A chamada “fase de provisórias” tem muitas vezes mais relevância do que as restantes, para o diagnóstico, planeamento, tratamento em si e para a fase de manutenção. A etapa das provisórias faz parte do início da fase terapêutica, mas espelha todo o planeamento pensado e executado para cada caso clínico e posteriormente o grau de motivação e compromisso esperado na fase de manutenção pelo paciente.

Prótese Removível

Utilizadas para a substituição de alguns ou de todos os dentes, podem ser ajustadas e apoiadas nas estruturas naturais (gengiva e dentes) ou apoiadas em implantes osteointegrados.

Podem ser acrílicas, esqueléticas (com o esqueleto metálico/titânio) ou flexíveis com ganchos estéticos.
São soluções menos dispendiosas que as soluções fixas mas que devido ao facto de serem amovíveis têm o problema da estabilidade e da sensação de presença de corpo estranho.

A colocação de implantes revolucionou o tratamento destes pacientes, permitindo a reabilitação com próteses fixas ou removíveis estabilizadas, mas mantendo os princípios clássicos de reabilitação.


Prótese Fixa
Sobre dentes naturais colocam-se as peças de cerâmica (coroas ou facetas) feitas em Laboratório, a partir de um molde tirado ao dente original. Antes da peça ser colocada sobre o dente, este sofre uma ligeira preparação para que a esta possa ser devidamente aderida ao dente original. Com este tipo de tratamento é possível mudar a cor, a forma, a orientação, o tamanho e mesmo o comprimento dos dentes. Resolvem-se problemas como:
- Aproximar os dentes que estão separados um do outro;
- Quando os dentes são muito pequenos em pessoas adultas;
- Melhorar a aparência dos dentes quebrados ou danificados por cáries;
- Harmonizar o tamanho dos dentes; Alterar a cor dos dentes que podem ser manchados ou escurecidos por diversos fatores.

Sobre implantes as soluções podem ser para casos unitários ou múltiplos, com estruturas fixas para reabilitar arcadas totais. Estes funcionam como se fossem umas “raízes dentárias artificiais” onde são fixas as coroas cerâmicas. São soluções apetecíveis pelo facto de dar a sensação de ter novamente dentes, mas têm de ser mantidas com cuidado redobrado pois acabam por ser peças artificiais e o que pretendemos é que sejam definitivos sem que haja qualquer tipo de problema posterior.

Exemplos em fase laboratorial
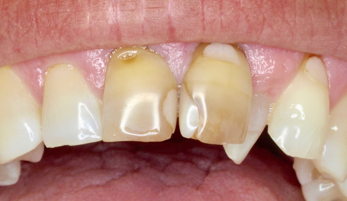
Casos de prótese fixa sobre dentes
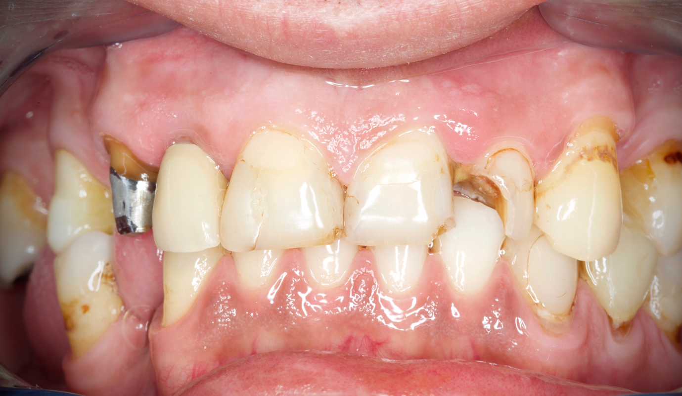
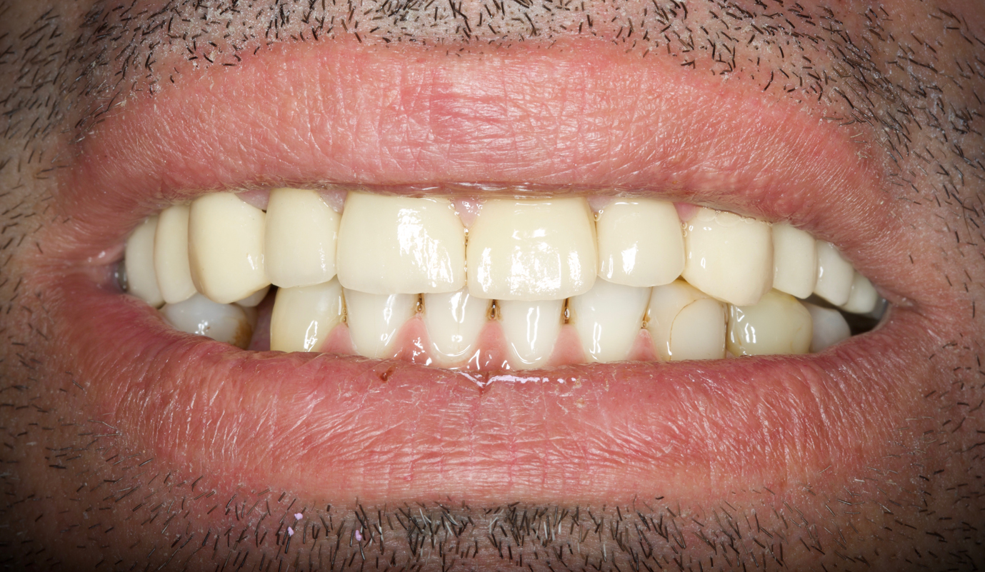
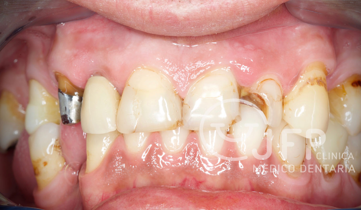
Casos de próteses sobre implantes
1
Exemplos em fase laboratorial
1
Casos de prótese fixa sobre dentes
1
Casos de próteses sobre implantes